Caution: I might say too much or you may not like ultra sound pics. In that case... skip this post! Also, this is a BIG trip down memory lane for me... selfish post to make sure I remember it all.
The time has come to say goodbye to the baby bump and hello to the real thing!!
And what a journey this pregnancy has been!!
I was on tour with Yo Gabba Gabba in Philadelphia when I decided to see if what my heart was telling me was true!
![]() |
| Holy Shit Balls! |
And yes, yes it was! I was 5 weeks pregnant with 2 weeks of tour left to go!! I had told Brian that I might take a test just to see... ha! And the picture above is what I emailed him... with that exact same caption. Clearly we were planning on this!
I went through the rest of tour downing club sodas with lime at every bar, running to vomit after escorting celebs to the stage and trying desperately not to make the bus pull over every 5 minutes for more morning sickness. All this while keeping it a BIG secret! In hindsight, it is pretty comical how I got through some of those 16 hour days on decaf pumpkin spice lattes!
When I did get home to our quaint 450 sq. foot studio apartment, I had a Drs appointment all lined up and ready to take on this new craziness!!
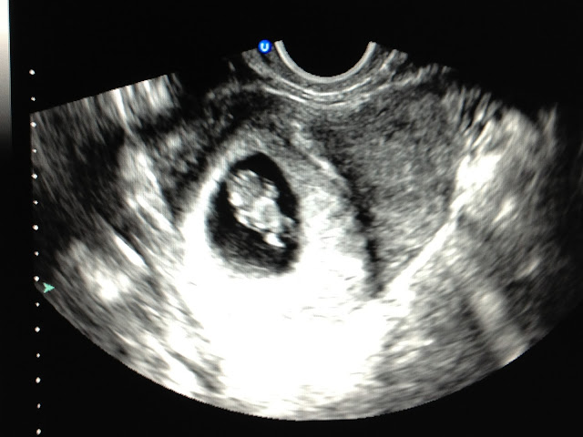
| Baby Brown @ 8 Weeks!! |
Look at how tiny Miss Samantha was!! Barely there and already causing so much excitement in our lives.
We had planned a lovely weekend in Long Island to go wine tasting months ago... SO... a wine tasting we went!!
![]() |
| I know a secret!! hehe |
We had to break the news to Brian's brother and sister in-law this weekend because I was clearly not going to be partaking in any wine drinking. We swore them to secrecy but it was kind of nice having a girl to chat with about it!!
Now, I know this is shocking to most but I had already planned to head to Oklahoma that next week and teach dance. So, we had to tell my parents. Because there is no hiding how I was super sick all day, every day. Brian and I came up with a creative way to tell them about the new grand baby entering there lives.
![]() |
| So we got a shirt for their dog, Millie, and decided to let her tell them! |
![]() |
| This is what we thought they would be called. |
![]() |
| My partner in crime! |
![]() |
| Someone was surprised!! |
![]() |
| Daddy just doesn't believe me at all. hahaha!! |
Lots of fun telling the parents. (Don't worry folks, there is video!)
I then taught dance that week because my mother had been through dental surgery and couldn't dance! So... when it came time to wear a costume in class... I felt I needed something with a little room.
| Me, as Tweedle Dee with one of my precious students dressed as me! |
After I left Oklahoma, it was back to the Dr to see how Baby Brown was progressing!
| Baby Brown @ 10 Weeks!! |
She was looking pretty good!! And I was feeling worse and worse! Which my loving Dr. would always reassure me was a good sign that Baby was healthy.
At 12 Weeks, we had another ultra sound. This time, Brian decided to vomit at the Drs office and almost passed out. Yes, folks, we will see if he makes it through the birth!!
Also at 12 weeks, we had TONS of family in town for Thanksgiving. So we decided to break the news!!
We made fortune cookies for each of the people at the table and had them open them. I was trying to take video but got nothing... so there are no pics of them finding out but it sure was fun.
The next week I headed to Oklahoma & Texas to dance in the Dallas Children's Hospital Christmas Parade with my mother's dance students. Yes, I was 13 weeks pregnant, a vomit machine really, and danced down the street for over a mile. I AM PSYCHO.
| Crazy pregnant lady dancing in a parade! |
Then there was Christmas at Grampa Brown's house, a trip to Oklahoma for more Christmas, back to NYC for New Years Eve and FINALLY the big appointment to tell us the gender!
We had an appointment booked for 20 weeks to find out but I when I asked my Dr jokingly at 18 weeks she told me!! And Brian was not there. So... I left him a note.
I kept saying I wanted a boy. I only looked at boy clothes and was convinced that She was a He. So I was pretty shocked. I just knew I was carrying a boy!!
At the 20 week appointment it was confirmed!! And she was a pretty one!! Well.. ya know!
| Love the profile pictures!! |
![]() |
| Brian says she is already covering her ears from her mothers constant talking. |
![]() |
| Check out those long legs and big feet!! |
Then we got word that Brian had gotten the job at OU! We packed out bags, moved across the country and it was time to find a new Dr and begin life in a new place!!
After moving a lot happened. Baby Shower, Dance Competitions, passing of my amazing grandmother, bed rest, remodling our new home... it was never ending!!!
We had 2 more appointments!
| Baby Brown at her first OK appointment. |
| We have a little thumb sucker on our hands!! |
I snuck away to Ardmore for my mothers dance recital and company auditions and...
Finally, this past weekend... we did nothing. Nothing I tell you. It was grand.
Now, this coming weekend... WE WILL BE PARENTS!!
What an amazing journey!


























